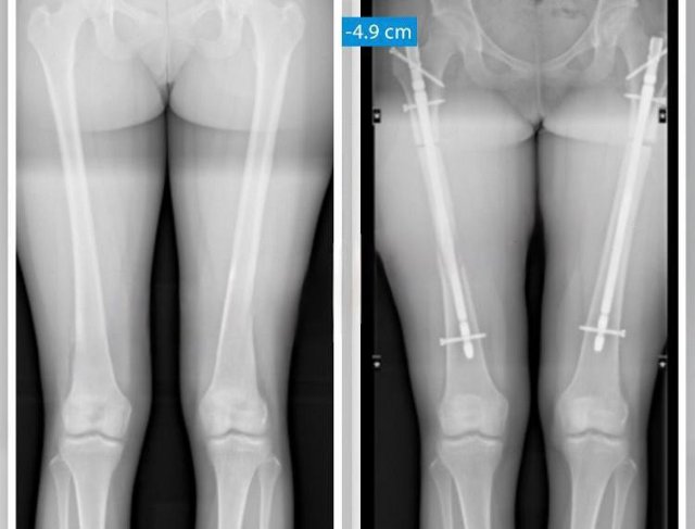
Все мечтают стать выше, а турчанки, наоборот, специально становятся ниже. И всё ради того, чтобы понравиться парням, которые стесняются встречаться с девушками одинакового или большего роста. Вот это поворот!
Хирурги спиливают часть бедренной или большеберцовой кости, уменьшая рост на 3–5,5 см. Например, одна пациентка снизила свой рост с 172 до 167 см.
Комментариев 1
Посетители, находящиеся в группе Гости, не могут оставлять комментарии к данной публикации.