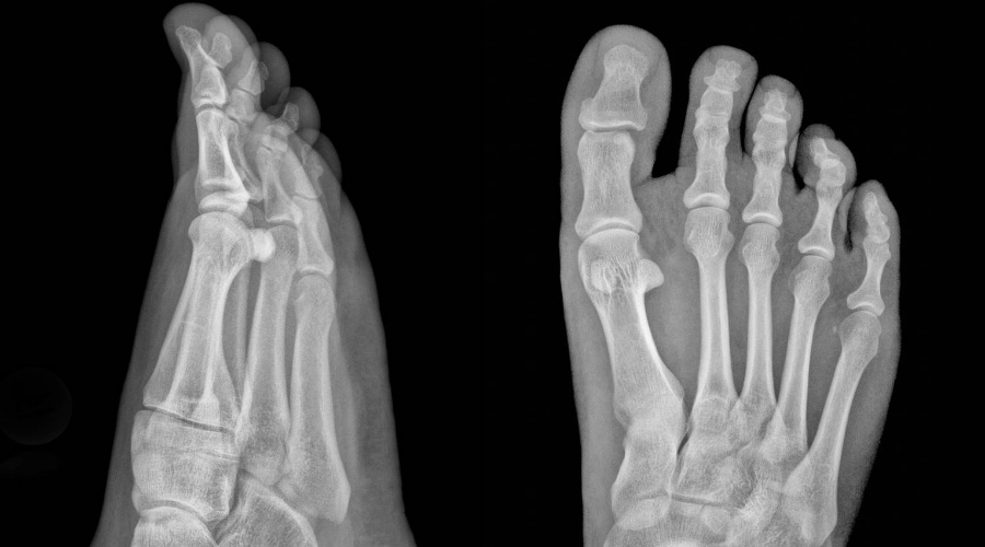
Чем опасно плоскостопие
Плоскостопие не принято считать серьезной болезнью. И совершенно зря: большинство просто не догадывается, с какими проблемами придется столкнуться уже на ранней стадии заболевания.

В здоровой стопе природное соединение подвижных костей составляет два свода. Они выполняют амортизирующую функцию. Врожденные пороки или внешние факторы могут привести к тому, что стопа становится плоской и соприкасается с поверхностью — соотвественно, амортизационная функция перекладывается на другие части тела, которые не предназначены для таких нагрузок. С этого и начинаются настоящие проблемы для всего организма.

Плоскостопие дает о себе знать постоянной усталостью. Ноги ощущаются тяжелыми, прогулки на большие расстояния превращаются в пытку. Даже домашние заботы приносят много хлопот, утомляют и простые дела. Но большинство списывают все это на обычную усталость — несвоевременное обращение к терапевту приводит к развитию второй стадии плоскостопия.

Вторую стадию пропустить уже сложнее. Организм пытается каким-то образом снизить нагрузку с больных связок стоп, перенаправляя ее на другие участки. Начинают болеть колени и тазобедренные суставы — они просто не предназначены для серьезного давления. Чем это опасно? Ну, на второй стадии практически любая простуда вполне может спровоцировать развитие артрита и даже артроза суставов.

Доведенное до третьей степени плоскостопие приводит к серьезной деформации стопы. Отеки появляются ежедневно, ходить становится трудно даже в пределах комнаты. Теперь без ортопедических ботинок обойтись не получится, иначе будет только хуже.

Телу приходится искать какую-то амортизацию при ходьбе. Довольно быстро развивается искривление позвоночника, лордоз, кифоз и сколиоз.

Под удар попадают и внутренние органы. Сдвинутые с места позвонки влияют на работу сердца, сдавленная диафрагма приводит к возникновению одышки. Страдает кишечник. Хуже всего, что искривление позвоночника может пережать нерв — грубо говоря, плоскостопие легко приводит к инвалидности даже молодого человека.

Ранняя стадия плоскостопия вполне поддается лечению. Лечебно-профилактическая физкультура, уменьшение нагрузок, электростимуляция — вариантов много. Главное, не пропустить первые признаки болезни и обязательно обратиться к профессиональному врачу.

Что это такое
В здоровой стопе природное соединение подвижных костей составляет два свода. Они выполняют амортизирующую функцию. Врожденные пороки или внешние факторы могут привести к тому, что стопа становится плоской и соприкасается с поверхностью — соотвественно, амортизационная функция перекладывается на другие части тела, которые не предназначены для таких нагрузок. С этого и начинаются настоящие проблемы для всего организма.

Первая степень
Плоскостопие дает о себе знать постоянной усталостью. Ноги ощущаются тяжелыми, прогулки на большие расстояния превращаются в пытку. Даже домашние заботы приносят много хлопот, утомляют и простые дела. Но большинство списывают все это на обычную усталость — несвоевременное обращение к терапевту приводит к развитию второй стадии плоскостопия.

Вторая степень
Вторую стадию пропустить уже сложнее. Организм пытается каким-то образом снизить нагрузку с больных связок стоп, перенаправляя ее на другие участки. Начинают болеть колени и тазобедренные суставы — они просто не предназначены для серьезного давления. Чем это опасно? Ну, на второй стадии практически любая простуда вполне может спровоцировать развитие артрита и даже артроза суставов.

Третья степень
Доведенное до третьей степени плоскостопие приводит к серьезной деформации стопы. Отеки появляются ежедневно, ходить становится трудно даже в пределах комнаты. Теперь без ортопедических ботинок обойтись не получится, иначе будет только хуже.

Проблемы с позвоночником
Телу приходится искать какую-то амортизацию при ходьбе. Довольно быстро развивается искривление позвоночника, лордоз, кифоз и сколиоз.

Влияние на внутренние органы
Под удар попадают и внутренние органы. Сдвинутые с места позвонки влияют на работу сердца, сдавленная диафрагма приводит к возникновению одышки. Страдает кишечник. Хуже всего, что искривление позвоночника может пережать нерв — грубо говоря, плоскостопие легко приводит к инвалидности даже молодого человека.

Что делать
Ранняя стадия плоскостопия вполне поддается лечению. Лечебно-профилактическая физкультура, уменьшение нагрузок, электростимуляция — вариантов много. Главное, не пропустить первые признаки болезни и обязательно обратиться к профессиональному врачу.
Комментариев 1
Посетители, находящиеся в группе Гости, не могут оставлять комментарии к данной публикации.