Паразит, питающийся мозгом

Человек привык считать себя царем природы, но даже простейший организм способен уничтожить его за считанные дни. И это не преувеличение: неглерия Фоулера (Naegleria fowleri) пробирается в мозг млекопитающего, поедая его заживо. Этим амебам совершенно плевать на полеты в космос и сверхсовременную медицину — простейших заботит только еда.
А вероятность повстречать амебу-мозгоеда увеличивается очень медленно, зато постоянно. Ученые видят причину ее распространения в глобальном потеплении. Добравшись до пресноводных водоемов регионов где годовая температура поднялась, амеба сумела адаптироваться к новым условиям.

Опасные зоны
Неглерию Фоулера можно повстречать в любом пресноводном водоеме мира. Эти амебы питаются бактериями, а человека заражают от случая к случаю. Подхватить страшную заразу элементарно, хватит одного небольшого вдоха с каплей воды. Попав в тело носителя неглерия быстро перемещается в головной мозг, представляющий для них банкетный стол.

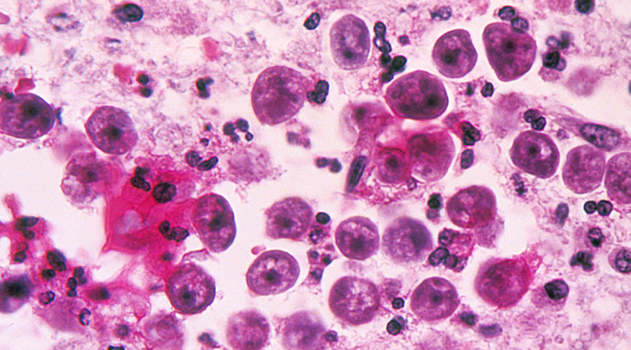
Атака на разум
Устроившись поудобнее под черепной крышкой, амеба начинает поглощать клетки мозга. При этом она производит специальный белок, который способствует скорейшему распаду еще здоровых клеток. В скором времени участок мозга рядом с паразитом оказывается полностью разрушен. Обычно на этой стадии человек еще остается в сознании, вынужденный терпеть ужасные ощущения.

Защитные механизмы
Иммунная система врага замечает в первые же секунды вторжения. К сожалению, эволюция не предусмотрела какого-то специального отряда иммунных клеток для борьбы с пожирающей мозги амебой, что выглядит довольно нечестно. Организм борется с паразитом стандартными методами: направляет к пораженному участку побольше иммунных клеток.

Последняя капля
Контрнаступление иммунной системы неглерии Фоулера только на руку. То есть, на жгутик. В попытке уничтожить паразита организм отдает приказ направить в зону поражения огромное количество иммунных клеток. Эти «спасатели» буквально погребают под собой остатки мозга, вызывая воспаление тканей. Как следствие возникает отек мозга, от которого и умирает пострадавший.

Реальность опасности
Конечно, шансов заразиться пожирающей мозги амебой ничтожно мало. С 1962 года зарегистрировано всего 132 подобных случая по всему миру, а выжить удалось только троим пострадавшим. Однако, индийский биолог Абдул Маннан Баиг верно указывает на то, что статистику из развивающихся стран никто не учитывал — за ее полным отсутствием. Скорее всего, ученый прав. Недавнее исследование отдаленных территорий Пакистана показало, что в этой стране амеба заражает минимум 20 человек в год.
Комментариев 2
Посетители, находящиеся в группе Гости, не могут оставлять комментарии к данной публикации.