Жуткая причина головных болей

+12

Комментариев 13

Офлайн
Yosh
Yosh 23 ноября 2014 19:41
+ +1 -
мило
Офлайн
space 23 ноября 2014 19:54
+ +18 -
чему удивляться? у каждого свои тараканы в голове
Офлайн
yazik
yazik 23 ноября 2014 20:11
+ -10 -
вегетарианство самый гуманный способ уталить свой голод.
Офлайн
antonio24
antonio24 23 ноября 2014 21:09
+ +3 -
Цитата: yazik
вегетарианство самый гуманный способ уталить свой голод.

В овощах тоже черви заводятся!
Офлайн
Megator4
Megator4 23 ноября 2014 23:41
+ 0 -
Как он в мозг попал?
Офлайн
pokemon 24 ноября 2014 00:34
+ +4 -
Цитата: Megator4
Как он в мозг попал?

личинкой, с током крови
Офлайн
ГромоЗека 24 ноября 2014 01:27
+ -1 -
Сырое мясо не причина, тут в другом дело, а именно всякие деликатесы из личинок, жареные насекомые и те же черви. Но ни как не сырое мясо, если захотели сырого мяса, то не жалейте соли...)
Офлайн
Larry
Larry 24 ноября 2014 01:36
+ +2 -
Так-то этих червей и от кошечек с собачками поймать можно, если верить вики
Офлайн
Megator4
Megator4 24 ноября 2014 04:01
+ +2 -
Цитата: pokemon
Цитата: Megator4
Как он в мозг попал?

личинкой, с током крови

А в кровь как попал? Прямого доступа из желудка в кровь нет.
Офлайн
Pol
Pol 24 ноября 2014 09:07
+ +2 -
все спрашивают: как? да откуда?
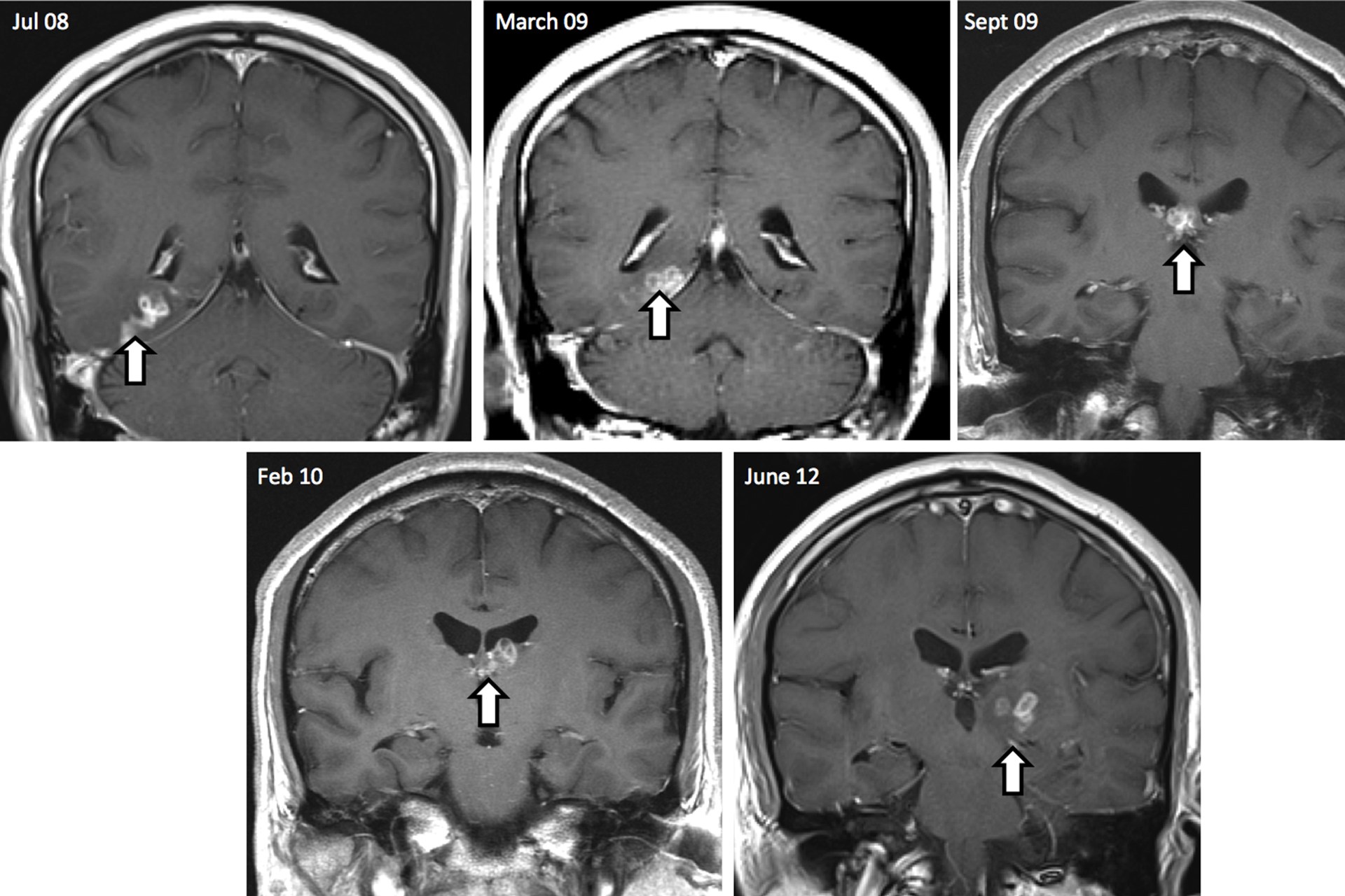
я другой вопрос подниму: снимки датированы 12-м, 10-м, 9-м и 8-м годами.
не прошло и четыре года, как говорится.
они снимки эти делают чтобы с умным видом около них постоять? или взять баблосов побольше "за лечение"?
судя по фото, этого червя видно неплохо. а обнаружили его "случайно".
Офлайн
4ekalda
4ekalda 24 ноября 2014 15:40
+ 0 -
Не факт, что в Азии подцепил.

Мог где нибудь порезаться и с кровью (из раны) личинка попала в мозг.
Офлайн
yazik
yazik 24 ноября 2014 15:54
+ -5 -
Цитата: antonio24
В овощах тоже черви заводятся!

Те что в овощах не могут долго прожить в человеке и абсолютно безопасные.
Кому свое здоровье не безразлично, тот конечно же и без моих коментов знает, что мясо вредно, и я искренне надеюсь, что каждый прочитавший хотя бы задумается над тем, чтобы жить без мяса.
Офлайн
shkoloto
shkoloto 24 ноября 2014 23:14
+ 0 -
Цитата: Pol
все спрашивают: как? да откуда?
я другой вопрос подниму: снимки датированы 12-м, 10-м, 9-м и 8-м годами.
не прошло и четыре года, как говорится.
они снимки эти делают чтобы с умным видом около них постоять? или взять баблосов побольше "за лечение"?
судя по фото, этого червя видно неплохо. а обнаружили его "случайно".

да ты резкий, как понос
ДОСТАЛ НОЖ - РЕЖ
trollface
Информация
Посетители, находящиеся в группе Гости, не могут оставлять комментарии к данной публикации.